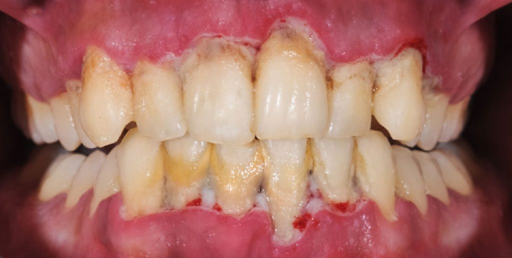
Nyheder 500 indlæggelser kan undgås: Dårlig mundhygiejne slår folk ihjel Thea Andersen • 18. oktober 2022